Logo
Logo
منذ 5 سنوات   نشر في  ٢٠٢١/٠٢/٠١ م
الانزيمات الكاتبة Writer Enzymes
الإنزيمات التي تضيف جزيئات لتحوير DNA او الهستونات مثل اضافة مجاميع المثيل او الاستيل او غيرها واغلب آليات التحوير تتم بواسطة هذه الإنزيمات والمعقدات البروتينية فضلا عن اشتراك قطع صغيرة من RNA وهذه تمثل اللغة التي تستعملها الوراثة اللاجينية عندما تستجيب للمؤثرات الخارجية التي تعتمد على مثيلة DNA او تحوير الهستونات .
قراءة كامل الموضوع read more
6 + 5 =
منذ 5 سنوات   نشر في  ٢٠٢١/٠١/٣١ م
معرفة التسلسل النووي DNA Sequencing ومن الطرق الاكثر شيوعا لمعرفة التسلسل النووي لأي قطعة من الدنا هي الطريقة الانزيمية Enzymatic method ويطلق عليها أيضا طريقة سانجر Sanger procedure نسبة الى سانجر الذي اسس هذه الطريقة . كما انها ايضا تعرف بالتسلسل عن طريق دي ديوكسي Dideoxy sequencing .وترتكز هذا الطريقة على مفهوم ان شريط الدنا في الاساس تكون من جزيئات من الديوكسي نيوكليوتيد . ويختلف الديوكسي نيوكليوتيد عن دي ديوكسي نيوكليوتيد بعدم وجود مجموعة الهيدروكسيل في النقطة الثالثة من حلقة السكر الخماسية
قراءة كامل الموضوع read more
5 + 8 =
منذ 5 سنوات   نشر في  ٢٠٢١/٠١/٣٠ م
تركيب العصارة الصفراوية :
هي وسائل قلوي الوسط ذو لون اصفر لوجود صبغة صفراء به تعطيه لونه وكميته تكون 800 ملل يوميا ويدخل الماء في تركيبه بنسبة 97% ويحتوي على مواد عضوية الانزيمات الهاضمة واملاح واصباغ الصفراء ويحتوي على مواد غير عضوية مثل البيكتربونات التي تعطيه قلويته .
وظيفة العصارة الصفراوية :
هضم الدهون لاحتوائها على انزيمات هاضمة
معادلة حموضة الطعام المهضوم القادم من المعدة وذلك بقلويتها العالية
وظائف المرارة:
تخزين وتركيز العصارة الصفراوية لا…
قراءة كامل الموضوع read more
4 + 7 =
منذ 5 سنوات   نشر في  ٢٠٢١/٠١/٢٩ م
النباتات الطبية : الزعفران .Crocus sativus L :يتمتع الزعفران بخواص هاضمة ومنبهه لإفراز العصارة الهاضمة ، طاردة للديدان المعوية، تستعمل لمعاجلة الاكتئاب والاضطرابات النفسية ، تحسين الطاقة الجسدية وتحسين السمع والذاكرة. منشط قلبي ، ومنشط للجهاز العصبي المركزي.بينت الدراسات إمكانية استخدام الزعفران كعامل وقاية وعلاج من السرطان ، فقد تبين ان الزعفران لا يمنع تشكل أورام سرطانية فحسب ، بل يسهم أيضا في تقلص وانكماش الأورام الموجودة. قد ترجع تلك الخواص جزئيا الى محتواه من المركبات الكاروتينويدية .
قراءة كامل الموضوع read more
6 + 6 =
منذ 5 سنوات   نشر في  ٢٠٢١/٠١/٢٨ م
مستلم الإلكترونات النهائي TEA) Terminal Electron Acceptor)
آخر مستلمات الإلكترونات في السلاسل التنفسية للأحياء ويختلف في التنفس الهوائي عن التنفس اللاهوائي، ففي الأول يكون الأوكجسين الذي يستلم الإلكترونات من معطياتها بعد مرورها بسلسلة من مكونات السلاسل التنفسية للحصول على الطاقة والتي تشمل أنواع من السايتوكرومات ومكونات أخرى لتستلم أخيراً من قبل الأوكسجين.
أما في التنفس اللاهوائي فهناك بعض المركبات يمكن أن تحل محل الأوكسجين مثل النترات -NO3 أو الفيوميرات Fumarate وغيرها .
قراءة كامل الموضوع read more
5 + 6 =
منذ 5 سنوات   نشر في  ٢٠٢١/٠١/٢٧ م
البروتينات المفرقة Uncoupling Proteins
بروتينات توجد في الغشاء الداخلي للمايتوكوندريا وتستعرضه وتوجد في الحيوانات والنباتات التي تقوم بألغاء تدرج البروتونات او الجهد الكهربائي عبر الاغشية قبل الاستفادة منها لانتاج الطاقة في عملية الفسفرة التأكسدية Oxidative Phosphorylation وذلك بزيادة نضوحية الاغشية للبروتونات التي ضخت الى الخارج والعودة الى داخل المايتوكوندريا . وهذه البروتينات تساعد في توليد الحرارة في بعض الانسجة خاصة الانسجة الدهنية البنية Brown Adipose Tissue وغيرها من الوظائف…
قراءة كامل الموضوع read more
5 + 9 =
منذ 5 سنوات   نشر في  ٢٠٢١/٠١/٢٦ م
النباتات الطبية : سنامكي Senna alexandrina (Gars.) Thell
تعد اوراق وثمار السنا حاليا من افضل الملينات والمسهلات النباتية المسجلة في دساتير الادوية الاوروبية والأمريكية والهندية والصينية. وقد اثبتت الابحاث على اوراق وثمار السنا انه ملين لطيف اذا اخذ بجرعات صغيرة معتدلة ، يتحول الى مسهل اذا اخذ بجرعات كبيرة.
قراءة كامل الموضوع read more
5 + 4 =
منذ 5 سنوات   نشر في  ٢٠٢١/٠١/٢٥ م
النباتات الطبية : برسيم حجازي​ .Medicago sativa L: الخواص والاستعمالات الطبية :
تؤثر المحتويات الصابونية في الجهاز القلبي الوعائي والجهاز العصبي والجهاز الهضمي.
يستخدم العقار شعبيا، لمعاجلة داء السكري والخلل الوظيفي للغدة الدرقية ، ومشاكل الكلى والمثانة والبروستات ، وزيادة تدفق البول، كما يفيد في علاج اضطرابات الحيض وسن اليأس نظراً لمفعول الفصة المولد للاستروجين. تستعمل البذور في تخفيض المستوى العالي من الكولستيرول ، علاج التهاب المفاصل الرثياني. مصدر للفيتامينات A ،E ،K وبعض…
قراءة كامل الموضوع read more
3 + 6 =
منذ 5 سنوات   نشر في  ٢٠٢١/٠١/٢٣ م
النظام المدمر Ubiquitination System
نظام بروتيني يوجد في الخلايا الحية ويكون مسئولا عن تدمير البروتينات التي يحصل خطأ في طويها ، وكذلك يكون مسئولا عن البروتينات المقرر أن تبقى مدة قصيرة في الخلية والتي تتغير تراكيزها بسرعة مع تطور الحالة الفسلجية للخلايا.
ويحصل تنشيط لهذا النظام ومكوناتها عند تعرض الخلايا للاجهادات وتكون البروتين المدمراذ يرتبط بالحامض الأميني اللايسين في النظام المعتمد على ATP . والنظام مهم في حياة الخلايا تحت الظروف العادية وليس الاجهادات فقط .
قراءة كامل الموضوع read more
3 + 1 =
منذ 5 سنوات   نشر في  ٢٠٢١/٠١/٢٢ م
المستقبلات الحرارية Thermoreceptorsاحد البروتينات على سطوح الخلايا مثل الخمائر ويكون مرتبطا بالأغشية له دور في حث مسارات الإجهاد الحراري ويؤدي بدوره الى تغيير النسب المئوية ونوعية الحوامض الدهنية غير المشبعة في الأغشية الخلوية .
وفي الجسم البشري يكون مركزه الفص الامامي من الغدة تحت المهاد Hypothalamus ،الذي يستلم الاشارات من متحسسات الحرارة في الجلد والاغشية المخاطية Peripheral Thermoreceptors ومن التراكيب الداخلية Control Thermoreceptors.
قراءة كامل الموضوع read more
5 + 3 =
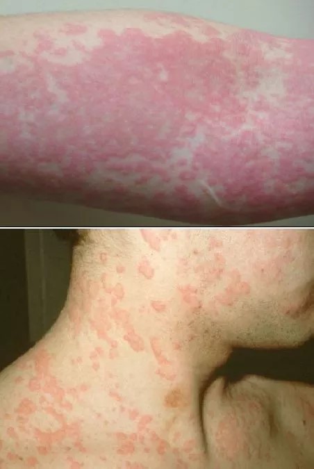
منذ 5 سنوات   نشر في  ٢٠٢١/٠١/٢١ م
الشرى Urticaria هو من الأعراض الجلدية المهمة المرافقة للحساسية الغذائية وهو المسمى بشرى الحساسية . وللشرى أسباب متعددة وفي بعض الأحيان تكون غير معروفة الا ان علاقتها بالحساسية الغذائية وثيقة . ومن الأغذية المسببة للشرى حليب الأبقار والبيض وبعض الأحيان الخبز .
- تشترك أكثر من آلية في إظهار الشرى منها تفاعلات الاجسام المناعية من نوع IgE ضمن النوع الأول للحساسية بالإضافة الى توسط الخلايا في تطور الحالة المرضية .
قراءة كامل الموضوع read more
9 + 8 =
منذ 5 سنوات   نشر في  ٢٠٢١/٠١/٢٠ م
حوامض أمينية محورة Modified Amino Acids
حوامض أمينية محورة عن الحوامض الأمينية الشائعة في تركيب البروتين الاعتيادي المعروفة وعددها عشرون حامضاً أمبنيا . وهي حوامض أمينية بروتينية تدخل ضمن تركيب بعض البروتينات لأداء وظيفة معينة وتختلف عن الحوامض الأمينية غير البروتينية Non-Protein Amino Acids . مثل الحامض ألأميني γ-Carboxyglutamic Acid والذي يعد حامضاً أمينياً رابطاً لعنصر الكالسيوم في تركيب بروتين Prothrombin الذي يساهم في عملية تخثر الدم .
قراءة كامل الموضوع read more
2 + 2 =