Logo
Logo
منذ 4 سنوات   نشر في  ٢٠٢١/٠٨/٠٣ م
المقاومة للمضادات الميكروبية
نظراً لكثرة العوامل القاتلة للأحياء المجهرية والتي يجب ان تعيش فقد طورت العديد من الآليات ضد المواد المستعملة، واصبحت بعض السلالات مقاومة بشكل كبير وأرقت العاملين في المجال الصحي بالنسبة للأحياء الممرضة، وازداد الطلب لإيجاد مضادات ومواد فعالة ضد المضر منها
قراءة كامل الموضوع read more
9 + 8 =
منذ 4 سنوات   نشر في  ٢٠٢١/٠٨/٠٢ م
الفطريات الملونة Stain Fungi
فطريات تنتج الصبغات مثل Grosmannia clavigera عند نموها على الأخشاب مما يؤدي إلى إنتاج ورق غير ملائم، وتلون الخشب بالصبغات مثل اللون الأزرق يعود إلى أن هذه الفطريات تنتج مايسليوم ملون مما يؤدي إلى تلون الخشب، وأكثر هذه الفطريات تكون غير مؤذية عدا تلوينها الخشب ومن أهمها الفطر الملون Leptographium lundbergii وتستعمل السيطرة الحيوية للتخلص من هذه الفطريات مثل استعمال الفطر Trichoderma أو البكتريا العصوية Bacillus subtilis أوPseudomonas cepacia .
قراءة كامل الموضوع read more
9 + 4 =
منذ 4 سنوات   نشر في  ٢٠٢١/٠٨/٠١ م
البلازميدات
تمثل الجزء الاخر من جينوم الخلايا خاصة بدائية النواة وهي عناصر وراثية لا كروموسوميه، وتعد من المتضاعفات لامتلاكها نقطة اصل التضاعف، وتتضاعف بشكل مستقل عن كروموسوم الخلية. وتكون البلازميدات عادة اصغر من كروموسوم الخلية وتصل حجومها من 5 الى عدة مئات (كيلو قاعدة) ولكن توجد بعض البلازميدات الكبيرة التي يصل حجمها الى 2 ميكا قاعدة. أكثر البلازميدات تكون حلقية تلتف أشرطتها المزدوجة بشكل كبير, ولكن توجد بعض البلازميدات غير حلقية.
قراءة كامل الموضوع read more
3 + 9 =
منذ 4 سنوات   نشر في  ٢٠٢١/٠٧/٣١ م
فطر Trichoderma والمخصبات
يستعمل الفطر في تحفيز نمو النباتات، فهو يزيد من معدلات نموها وتطورها بعد ان يساعدها على الانبات، وزيادة معدلات النمو تعود الى ان الفطر يساعد في تكوين جذور قوية تمتد الى عمق كبير وبذا يمكن ان يقلل من السماد المستعمل، اذ تقلل سماد النتروجين بنسبة 40% ، وتساعد في نمو النبات في المناطق المرستيمية في الأجزاء الفتية مؤدية الى حدوث نمو سريع ويمكن ان تصل نسبة الزيادة في النمو الى 70 – 80% مقارنة بالنباتات غير المعاملة، وتحصل زيادة في الوزن المكتسب تصل الى 60%.
قراءة كامل الموضوع read more
7 + 1 =
منذ 4 سنوات   نشر في  ٢٠٢١/٠٧/٣٠ م
يزداد مستوى الكلوريد في الدم في الحالات التالية :
- عند معدل التنفس ، ويحدث ذلك في حالات الحمى الشديدة والتسمم بالاسبرين والقلق والخوف .
- مع استعمال جرعة كبيرة من كلوريد النشادر وكلوريد البوتاسيوم وذلك في حالة التجفاف .
يقل مستوى الكلوريد في الدم في الحالات التالية :
- مع بطئ معدل التنفس (مثل حالات التسمم بالمورفين) والقيء الشديد المستمر والاسهال المزمن ومرض البول السكري غير المعالج .
- في امراض الغدة الكظرية والفشل الكلوي .
قراءة كامل الموضوع read more
4 + 6 =
منذ 4 سنوات   نشر في  ٢٠٢١/٠٧/٢٩ م
تحليل الليثيوم Lithium
يدخل عنصر الليثيوم في تركيب الادوية المعالجة للاكتئاب لما له من فعل مضاد لهذا المرض . وحيث ان هذا العنصر له تاثر سام على الكلى ويضعف وظيفة الغدة الدرقية ، ينصح المتناولين لهذه الادوية بعمل تحاليل لقياس مستوى الليثيوم بالدم ولذلك اصبح هذه التحليل روتينيا في قسم الامراض النفسية .
قراءة كامل الموضوع read more
2 + 9 =
منذ 4 سنوات   نشر في  ٢٠٢١/٠٧/٢٨ م
الفرمونات Pheromones
ببتيدات قصيرة السلسلة تفرز من قبل الخلايا المستلمة (عند إجراء عمليات الاقتران في البكتريا) وهذه الببتيدات تؤدي إلى تحفيز الخلايا الواهبة أن تخلق على سطوحها مكونات لاصقة تؤدي إلى الالتصاق بين الخلايا الواهبة والمستلمة وبذلك يتم حقن Plasmid DNA.والفرمونات في الأحياء الأخرى تكون بمثابة مواد كيماوية تفرز لإعطاء الإشارة إلى أحياء عادة تكون من النوع نفسه ، وتلعب دوراً مهما في الحياة الاجتماعية للحيوانات خاصة الحشرات واللبائن ، وفي هذه الأحياء تكون بمثابة حوامض عضوية…
قراءة كامل الموضوع read more
6 + 5 =
منذ 4 سنوات   نشر في  ٢٠٢١/٠٧/٢٧ م
عامل النخر الورمي TNF) Tumor Necrosis Factor) احد السايتوكينات او محركات الخلايا متعددة الوظائف ويسمى TNFα او Cachexin او Cachectin ، ويؤثر في عدد من العمليات مثل ايض الدهون والتخثر ومقاومة الانسولين ووظائف الخلايا الطلائية التي تبطن الاوعية الدموية . وهو بروتين ينتج بشكل رئيس من الخلايا Monocytes , Macrophages وكذلك ينتج من الخلايا الصارية Mast Cells والخلايا القاتلة الطبيعية Natural Killer Cells وغيرها من خلايا الجهاز المناعي استجابة لبعض السموم الداخلية Endotoxins ويؤدي الى حدوث الالتهابات .
قراءة كامل الموضوع read more
4 + 1 =
منذ 4 سنوات   نشر في  ٢٠٢١/٠٧/٢١ م
ايونات المعادن والاحياء المجهرية :
تعد من المواد القاتلة Biocides اذ توجد علاقة ما بين هذه الايونات و الاحياء المجهرية. فأيونات الزئبق ++Hg والفضة + Ag تكون قاتلة للأحياء المجهرية وذلك بتداخلها القوي مع مجاميع الثايول في الانزيمات والبروتينات الخلوية ولكن قد يكون هذا قابلا للرجوع.
قراءة كامل الموضوع read more
5 + 6 =
منذ 4 سنوات   نشر في  ٢٠٢١/٠٧/٢٠ م
اللقاحات الوقائية Vaccines
عالق من خلايا بكتيرية أو فيروسات مضعفة أو أجزاء منها ولها وزن جزيئي أكبر من 5000 دالتون تحقن في أجسام الحيوانات لغرض توليد المناعة الفعالة ضدها ، وفي حالة كون الجزء المحقون أقل من الوزن الجزيئي المذكور فتحمل على مواد مساعدة Adjuvants لأن الجهاز المناعي عادة لا يتحفز للمواد الصغيرة الوزن الجزيئي.
قراءة كامل الموضوع read more
5 + 7 =
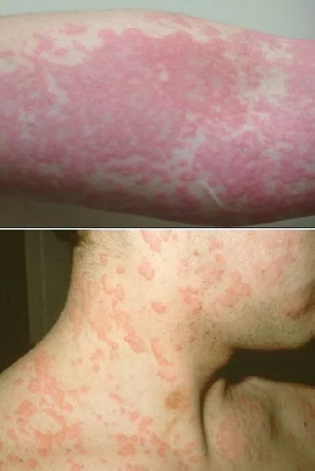
منذ 4 سنوات   نشر في  ٢٠٢١/٠٧/١٩ م
الشرى Urticaria
من الأعراض الجلدية المهمة المرافقة للحساسية الغذائية وهو المسمى بشرى الحساسية . وللشرى أسباب متعددة وفي بعض الأحيان تكون غير معروفة الا ان علاقتها بالحساسية الغذائية وثيقة . ومن الأغذية المسببة للشرى حليب الأبقار والبيض وبعض الأحيان الخبز .تشترك أكثر من آلية في إظهار الشرى منها تفاعلات IgE ضمن النوع الأول للحساسية بالإضافة الى توسط الخلايا في تطور الحالة المرضية .
قراءة كامل الموضوع read more
1 + 8 =
منذ 4 سنوات   نشر في  ٢٠٢١/٠٧/١٨ م
الفيروسات العجلية Rotaviruses
مجموعة من الفيروسات يكون جينومها من dsRNA ،تعود الى العائلة Reoviridae البعض منها يسبب التهاب الامعاء الحاد في الانسان بالدخول عن طريق الفم ، وهي اكثر مسببات الاسهال في الاطفال الاقل من 5 سنوات عالميا ، وتسبب وفاة اعداد كبيرة سنويا في جميع انحاء العالم . سميت بهذا الاسم لان تركيبها يشبه العجلة . تكون مقاومة للظروف البيئية وتبقى لمدة اسابيع الى اشهر . تصيب الابقار والقرود ولكن هذه تكون مختلفة وراثيا عن تلك التي تصيب الانسان
قراءة كامل الموضوع read more
1 + 8 =